Planmeca ProMax 3D Mid
ТЕХНИЧЕСКИЕ ХАРАКТЕРИСТИКИ
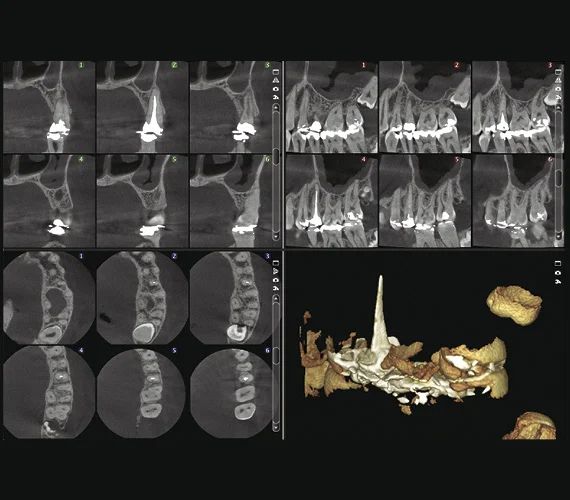
КЛИНИЧЕСКИЕ ИЗОБРАЖЕНИЯ
Planmeca ProMax® 3D Mid
Широкий спектр диагностических задач

Рентгеновский аппарат Planmeca ProMax® 3D Mid соответствует многочисленным диагностическим требованиям и предоставляет размеры объемов для любого клинического применения.

Величины объема
Максимальный объем за одно сканирование
Ø20 x 10 cm
Максимальный объем при нескольких вертикальных сканированиях
Ø20 x 17 cm
Качество изображения — клинические изображения
Алгоритм коррекции артефактов движения
Planmeca CALM® — это инновационный способ удаления артефактов, вызванных движением пациента, на снимке КЛКТ. Алгоритм предлагается в качестве опции для всех аппаратов Planmeca 3D.

Специальный эндодонтический режим визуализации
Качество изображения имеет большое значение, но состоит из мелочей. Эндодонтический режим визуализации идеально подходит для съемки мелких анатомических деталей. Он предлагает исключительно высокое разрешение с размером вокселя 75 мкм.

Апробированный метод съемки при низкой дозе облучения
Planmeca Ultra Low Dose™ — это передовой и научно апробированный метод получения изображений КЛКТ при низкой дозе облучения пациента. Вы можете использовать его со всеми размерами вокселей и режимами визуализации при более низкой дозе, чем при панорамной съемке.

Предварительные настройки для ЛОР-визуализации
Planmeca ProMax 3D Mid — это отличный выбор не только для стоматологической, но и для челюстно-лицевой визуализации. Аппарат оснащен многочисленными анатомическими настройками, специально разработанными для визуализации ушей, носа и горла..

Простота использования и комфорт
Planmeca ProMax 3D Mid обеспечивает бесперебойный рабочий процесс и удобство работы с пациентами благодаря открытому позиционированию пациента, простоте получения предварительных изображений и удобной панели управления.

Сканирование модели в 3D
Функция 3D-сканирования модели доступна в каждом аппарате Planmeca ProMax® 3D. Она позволяет путем сканирования оттисков и гипсовых моделей с помощью аппарата КЛКТ создавать модели поверхности без использования интраорального сканера. Файл STL модели поверхности может использоваться для планирования лечения.

Программное обеспечение для всех изображений
Planmeca Romexis® — это ведущее стоматологическое программное обеспечение «все в одном». Программа поддерживает все 2D и 3D изображения, а также полный рабочий процесс CAD/CAM — с уникальными преимуществами для клиник любого размера.

Универсальные возможности визуализации
Располагая расширенным набором методов и программ визуализации, Planmeca ProMax 3D Mid легко подстраивается под различные потребности специалистов. Аппарат также имеет очень широкий диапазон размеров вокселей.

Идеально подходит для визуализации брекетов
Аппарат Planmeca ProMax 3D Mid сертифицирован для использования с системой лечения SureSmile. Протокол визуализации брекетов отлично подходит для визуализации пациентов с брекетами.

Быстрая и точная технология визуализации
Благодаря неограниченному диапазону перемещения, запатентованная роботизированная рука SCARA, которой оснащены рентгеновские аппараты Planmeca, позволяет точно и без ограничений производить любую требуемую траекторию.
